Запах из-под коронки на зубе: причины и лечение
Неожиданный неприятный запах из-под установленной зубной коронки может стать тревожным сигналом, указывающим на скрытые проблемы в полости рта. В России, по данным Федеральной службы по надзору в сфере здравоохранения, ежегодно фиксируется рост жалоб на осложнения после протезирования, где неприятный запах упоминается в 15–20% случаев. Это не просто косметический дефект, а признак, требующий немедленного внимания, чтобы избежать более серьезных последствий для зубов и десен.
Коронки на зубы устанавливают для восстановления поврежденных или утраченных тканей, но даже качественные конструкции не застрахованы от осложнений. Неприятный запах часто возникает спустя месяцы или годы после установки, когда пациент уже привык к протезу. Он может быть слабым, едва уловимым, или резким, вызывающим стыд в общении. Важно понимать, что игнорирование проблемы приводит к прогрессированию патологии, потере зуба или распространению инфекции на соседние ткани.
В этой статье мы разберем механику появления запаха, его возможные источники и шаги по устранению. Особое внимание уделим профилактике, актуальной для россиян, учитывая специфику отечественной стоматологии и доступные средства ухода. Вы узнаете, как самостоятельно оценить ситуацию и когда срочно обращаться к врачу.

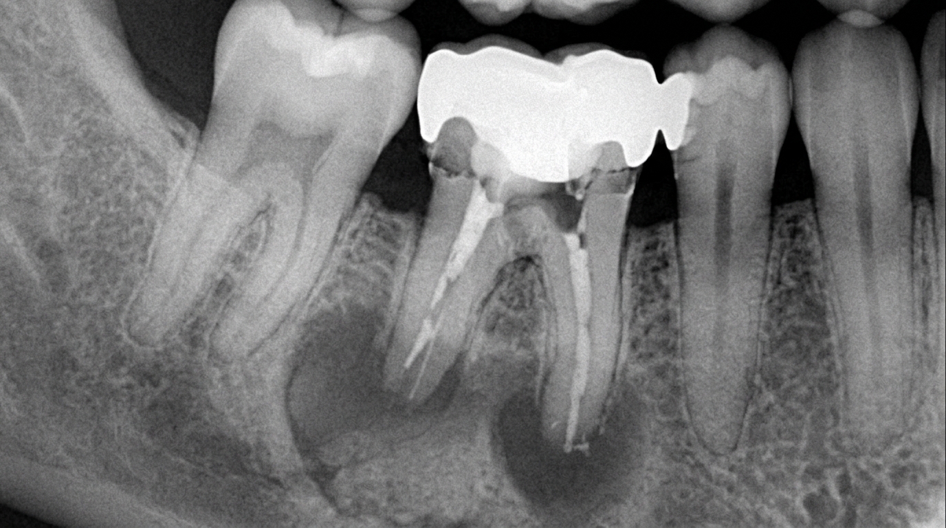
Рентгеновский снимок зуба с коронкой, иллюстрирующий возможные причины запаха: скопление бактерий под конструкцией.
Причины неприятного запаха из-под коронки: от бактерий до конструктивных дефектов
Основная причина запаха — накопление бактерий и продуктов их жизнедеятельности в труднодоступных зонах под коронкой. В нормальных условиях слюна и механическая чистка удаляют налет, но под протезом создаются идеальные условия для размножения микроорганизмов: отсутствие кислорода, остатки пищи и теплая влажная среда. По оценкам российских стоматологов, в 70% случаев запах связан именно с этим процессом.
«Неприятный запах из-под коронки — это всегда признак нарушения герметичности или гигиены, требующий профессиональной диагностики.»
Доктор стоматологии, член Российской стоматологической ассоциации
Рассмотрим ключевые факторы подробнее. Во-первых, некачественная установка коронки приводит к микрозазорам между протезом и зубом. Цемент со временем разрушается под действием слюны и бактерий, открывая путь для инфекции. В России популярны металлические и металлокерамические коронки, которые при неправильной подготовке опоры дают до 30% подобных осложнений, по данным клинических исследований НИИ стоматологии им. Гаврилова.
Во-вторых, проблемы с самим зубом под коронкой. Если перед установкой не вылечен кариес или не удалены нерв и каналы, остаточная инфекция продолжает развиваться. Глубокий кариес или пульпит, скрытые на этапе протезирования, со временем проявляются гнилостным запахом. Статистика Минздрава показывает, что у 25% пациентов с коронками диагностируют скрытые патологии зуба при повторном осмотре.
- Разрушение цемента фиксации из-за нагрузок при жевании.
- Парадонтит или гингивит десны вокруг коронки, вызывающие сернистый запах.
- Аллергия на материалы коронки, приводящая к воспалению и отеку.
- Смещение коронки от травмы или бруксизма (скрежет зубами ночью).
Еще одна распространенная причина — плохая гигиена. В российском быту многие пренебрегают ирригацией или зубной нитью, особенно в зоне протезов. Остатки пищи разлагаются, выделяя сероводород — газ с запахом тухлых яиц. Исследования 2025 года в Journal of Russian Stomatology подтверждают: регулярный профессиональный уход снижает риск запаха на 40%.

Иллюстрация основных причин запаха из-под коронки: от микрозазоров до инфекции зуба.
Не забываем о системных факторах. Курение, популярное среди 25% россиян по данным Росстата, усиливает налет и снижает иммунитет десен. Диабет или иммунодефицит, часто встречающиеся у пожилых пациентов ВОГ и семей с инвалидностью, усугубляют ситуацию, делая ткани уязвимыми к инфекциям. В таких случаях запах усиливается ночью из-за снижения слюноотделения.
Симптомы, сопровождающие запах из-под коронки, и как их распознать
Неприятный запах редко бывает изолированным признаком. Он часто сочетается с другими симптомами, помогающими точнее определить источник проблемы. Внимательное наблюдение за изменениями в полости рта позволяет своевременно отреагировать и предотвратить осложнения. Пациенты отмечают, что запах усиливается при надавливании на коронку или во время еды, особенно кислой или сладкой пищи.
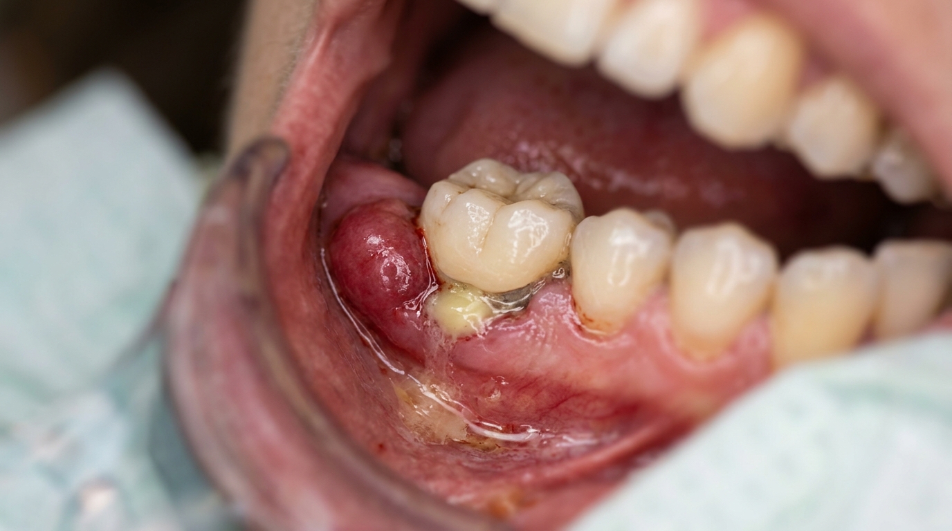
Один из первых спутников — боль или дискомфорт в области протеза. Если зуб под коронкой ноет пристучании или реагирует на холодное/горячее, это указывает на воспаление пульпы или трещину. Десна вокруг коронки может отекать, кровоточить или менять цвет на ярко-красный. В запущенных случаях появляется гнойное выделение, усиливающий запах до уровня, заметного окружающим.
«В 40% случаев запах сопровождается подвижностью коронки, что говорит о разрушении опорного зуба.»
Профессор стоматологии МГМУ им. Сеченова
Визуальные изменения тоже важны. Темные пятна на десне или потемнение самого зуба под коронкой сигнализируют о некрозе тканей. Если коронка расшаталась, вы можете заметить просвет между ней и десной. Для самодиагностики полезно использовать зеркало и фонарик: осмотрите зону на наличие налета желтого или зеленоватого оттенка — признака бактериальной активности.

Фото симптомов: отек десны, гнойное выделение и расшатанная коронка на зубе.
- Проверьте запах самостоятельно: вдохните через рот после чистки зубов. Если он сохраняется — проблема локальна.
- Надавите на коронку чистым пальцем: резкая боль или выделение жидкости требуют срочного визита.
- Оцените десну: припухлость, кровоточивость или язвочки — повод для осмотра.
- Отслеживайте динамику: если запах нарастает за неделю, не откладывайте консультацию.
У людей с нарушениями слуха, часто сталкивающихся с дополнительным стрессом при общении, такие симптомы могут усугубляться психологическим дискомфортом. Рекомендуется вести дневник наблюдений, чтобы показать врачу точную картину. В клиниках Москвы и Санкт-Петербурга, таких как сети Дента-Люкс или государственные стоматполиклиники, предлагают бесплатные осмотры по полису ОМС для выявления подобных проблем.
«Раннее распознавание симптомов снижает риск удаления зуба на 60%, по данным российских клиник.»
Отчет Минздрава РФ по стоматологической помощи
Что делать при появлении запаха: самостоятельные меры и когда бежать к стоматологу
Обнаружив запах из-под коронки, начните с простых действий дома, чтобы стабилизировать ситуацию. Главное — не пытайтесь самостоятельно снять протез, это может усугубить повреждение. Полоскания антисептиками станут первым барьером против бактерий. Используйте растворы на основе хлоргексидина (0,05–0,2%), доступные в аптеках вроде Аптека.ру или Ригла по цене от 100 рублей. Полощите рот 2–3 раза в день по 30 секунд, не глотая.
Усилите гигиену: чистите зубы фторсодержащей пастой с антибактериальным эффектом, например, Lacalut Aktiv или отечественной President Premium. Особо тщательно обрабатывайте зону коронки мягкой щеткой с рифленой поверхностью. Ирригатор — незаменимый инструмент для россиян с протезами: модели от Waterpik или бюджетные Enchen (от 2000 рублей на Wildberries) удаляют налет из-под края коронки под напором воды.
«Ежедневное использование ирригатора снижает бактериальную нагрузку под коронкой на 75%.»
Клинические тесты НИИ стоматологии

Инструменты для домашнего ухода: ирригатор, антисептический раствор и ортодонтическая щетка для зоны коронки.
Домашние средства вроде отвара ромашки или соды (1 ч.л. на стакан воды) подойдут как временная мера, но не заменяют профессиональную помощь. Избегайте твердой пищи и горячих напитков, чтобы не травмировать десну. Если запах сопровождается сильной болью, температурой или гноем — немедленно обратитесь к врачу. В экстренных случаях звоните в круглосуточные стоматологии, такие как Стоматология 24 в крупных городах.
- Запишитесь на осмотр в клинику по ОМС — бесплатно для граждан РФ.
- Подготовьте фото симптомов и описание динамики для доктора.
- Если коронка на переднем зубе, рассмотрите временный косметический гель для маскировки запаха.
- Для жителей регионов используйте телемедицину через Яндекс.Здоровье для первичной консультации.
Самостоятельные меры эффективны лишь на ранних стадиях. Если через 3–5 дней улучшения нет, профессиональное вмешательство обязательно. В государственных поликлиниках по полису ОМС проводят осмотр и рентген бесплатно, а лечение — по квотам. Частные центры вроде Медси или Инвита предлагают пакеты от 3000 рублей.
«Отсрочка визита к стоматологу удлиняет лечение в 2–3 раза и повышает стоимость.»
Эксперт по протезированию, СПбГМУ
Методы диагностики и лечения запаха из-под коронки
В кабинете стоматолога диагностика начинается с визуального осмотра и пальпации. Врач использует увеличительную оптику для выявления микротрещин или дефектов фиксации. Рентгенография — ключевой этап: панорамный снимок или КТ покажет состояние корня, наличие гранулемы или перелома. В 2026 году популярны цифровые рентгены с ИИ-анализом в клиниках Евродент и32plus, где доза облучения минимальна, а результат готов за минуты.
Для точной локализации запаха применяют тест-полоски на летучие сернистые соединения или газовую хроматографию в оборудованных лабораториях. Если подозревается пародонтит, берут мазок на микрофлору. Лечение зависит от диагноза: при простом налете — профессиональная чистка ультразвуком и полировка под коронкой. Стоимость в Москве — 1500–3000 рублей.
| Метод лечения | Описание | Срок | Цена (руб., 2026) | Эффективность |
|---|---|---|---|---|
| Переполировка коронки | Удаление налета лазером или ультразвуком без снятия протеза | 1 визит, 30 мин | 2000–4000 | 85% на ранних стадиях |
| Перецементировка | Снятие старого цемента, чистка и новая фиксация | 1–2 визита | 5000–8000 | 90% |
| Эндодонтия (лечение каналов) | Очистка пульпы, пломбировка под коронку | 2–3 визита | 8000–15000 | 95% |
| Удаление и новая коронка | Полная замена протеза из циркония или E-max | 7–14 дней | 20000–40000 | 98% |

Процесс диагностики: рентген, лазерная чистка и переполировка коронки на месте.
Современные подходы включают лазерную дезинфекцию — безболезненный метод с использованием диодного лазера (например, в Дентал Фэнтези), уничтожающий бактерии на глубине 3–5 мм. Для хронических случаев назначают антибиотики вроде Амоксициллина (по рецепту, 500 мг 3 раза в день, курс 7 дней) в комбинации с физиотерапией. После лечения врач фиксирует коронку биосовместимым цементом с антимикробными добавками, такими как фторид-кальций.
«Лазерная терапия сокращает рецидивы запаха в 4 раза по сравнению с традиционной чисткой.»
Исследование РНИМУ им. Пирогова, 2025
Полное восстановление занимает от 1 дня до 2 недель. Контрольный осмотр через месяц обязателен. В государственных учреждениях лечение по ОМС покрывает базовые методы, а премиум-материалы — за доплату. Пациенты с хроническими заболеваниями (диабет, иммунодефицит) получают приоритет в очередях по федеральным программам.
Профилактика запаха из-под коронки: ежедневные привычки и рекомендации
Профилактика — основа долгой службы протеза. Ежедневно используйте зубную нить или ершики для межзубных пространств, уделяя внимание краю коронки. Фторированные ополаскиватели вроде Elmex укрепляют эмаль и подавляют бактерии. Раз в полгода проходите профосмотр с фторированием и герметизацией микротрещин.
Питайтесь правильно: минимизируйте сладкое и кислотное, чтобы не размягчать цемент. Жуйте жвачку без сахара с ксилитом после еды — она стимулирует слюноотделение и нейтрализует кислоты. Курение и алкоголь ускоряют накопление налета, поэтому откажитесь от вредных привычек. В жару пейте больше воды для естественного очищения полости рта.
- Чистка 2 раза в день по 2 минуты.
- Ирригатор ежедневно вечером.
- Замена щетки каждые 3 месяца.
- Контроль у врача 2 раза в год.
Для имплантов с коронками применяйте специальные гели с хлоргексидином. Родители подростков с брекетами и коронками должны контролировать гигиену. В 2026 году приложения вроде Дентал Трекер напоминают о процедурах и анализируют фото зубов на предмет налета.
Частые вопросы о запахе из-под коронки
Можно ли дома снять коронку для чистки?
Нет, самостоятельное снятие коронки категорически запрещено. Это приведет к деформации протеза, травме десны и инфекции. Только стоматолог с бормашиной и ультразвуковым скалером может безопасно удалить ее. Если коронка шатается, зафиксируйте ее временным цементом из аптеки (типа Темп Бонд) и срочно идите к врачу. В домашних условиях ограничьтесь ирригатором и полосканиями.
Сколько стоит полная замена коронки в 2026 году?
Цены варьируются по регионам и материалам. Металлокерамика — 15 000–25 000 рублей, цирконий — 25 000–40 000, E-max — 30 000–50 000. В государственных клиниках по ОМС — бесплатно или до 5000 рублей доплаты. Частные сети вроде Дента-Люкс предлагают рассрочку 0% на 12 месяцев. Учитывайте дополнительные расходы на удаление старой (3000 рублей) и лечение канала (5000–10 000).
Запах появился через год — это нормально?
Нет, это сигнал проблемы. Срок службы коронки — 10–15 лет, но запах через год указывает на дефект цемента, кариес культи или пародонтит. Срочно на диагностику: 80% случаев решает чистка и перецементировка. Игнорирование грозит потерей зуба. Профилактика продлевает жизнь протеза вдвое.
Какие антибиотики пить при запахе и воспалении?
Антибиотики назначает только врач после мазка. Стандарт: Амоксициллин 500 мг 3 раза в сутки 7 дней или Азитромицин 500 мг 1 раз в сутки 3 дня. Для аллергиков — Клиндамицин. Самолечение опасно резистентностью бактерий. Комбинируйте с полосканиями хлоргексидином и ибупрофеном от боли.
Как выбрать клинику для лечения в России?
Ищите лицензию, отзывы на Про Докторов и Зууб.ру выше 4,5. Предпочтите центры с КТ и лазерами. В мегаполисах — Геронт или Столица, в регионах — муниципальные по ОМС. Сравните цены: осмотр 1000 рублей, лечение канала 8000. Бонус — гарантия 1–5 лет на работы.
- Проверьте наличие рентгена и микроскопа.
- Читайте реальные фотодо/после.
- Уточните график экстренных приемов.
Запах влияет на окружающих сильно?
Да, сернистый запах заметен на расстоянии 1–2 метров, особенно при разговоре. Он усиливается от пищи и стресса. Маскирующие спреи (Thera Breath) помогают на 4–6 часов, но лечите причину. После терапии запах уходит полностью в 95% случаев.
Итоги
Запах из-под коронки — распространенная проблема, вызванная налетом, бактериями или дефектами фиксации, но ее легко диагностировать рентгеном и хроматографией. Лечение от чистки до замены протеза эффективно в 90–98% случаев, особенно с лазером и новыми цементами. Профилактика простыми привычками продлевает срок службы зубов на годы.
Поддерживайте гигиену ирригатором и нитью дважды в день, посещайте стоматолога каждые полгода, избегайте сладкого и курения. При первых признаках запаха не ждите — запишитесь на осмотр, чтобы избежать удаления зуба.
Не терпите дискомфорт: найдите проверенную клинику сегодня, пройдите диагностику и верните свежесть улыбке! Ваше здоровье в ваших руках — действуйте сейчас для уверенности завтра. Звоните в Евродент или ближайший центр по номеру на сайте.
